Unterschiedliche Beinlange Ausgleichen
Beinlangendifferenz Symptome Durch Ubungen Ausgleichen Therapie
Beinlangendifferenz Ruckenschmerzen Durch Unterschiedlich Lange Beine
Beinlangendifferenz Statikproblem Ungleiche Beine
Orthopadische Schuhwerkstatten Ulrich
Gibt Es Unterschiedlich Lange Beine Biokinematik Therapie Alternativen Bei Chronischen Schmerzen Und Gelenkproblemen Schmerztherapie
Beckenschiefstand Durch Beinlangendifferenz Gelenk Klinik De
Wenn ihr die Beinlänge genau messen wollt, gibt es zwei unterschiedliche Möglichkeiten Zum einen könnt ihr die Schrittlänge bzw das Beininnenmaß ausmessen, sprich Ihr setzt das Maßband von der Ferse bis zum Schritt an und misst nach Zum anderen könnt ihr das Beinaußenmaß ausmessen Hier wird von der Hüfte bis zur Ferse Maß genommen.
Unterschiedliche beinlange ausgleichen. Ich möchte nur einen Vorbehalt machen, dass konservativ unterschiedliche Beinlängen nicht geheilt werden können Die konservative Methode ist so konzipiert, dass sie die Differenz mechanisch ausgleicht. Diese Übung hilft, das Becken wieder auf Kurs zu bringen;. Du willst den Artikel lieber im Audioformat?.
Ich hatte auch noch eine andere Theorie dazu das oft nur ein Knie schmerzt Vor Jahren wurde bei einer orthopädischen Untersuchung bei mir unterschiedliche Beinlänge diagnostiziert Das ist nicht viel vielleicht 23 mm Da man da reingewachsen ist und das Becken angepasst ist , merkt man beim. Das Höhersetzen des tiefer liegenden Bodens Höhenausgleichsprofile Solche Profile gibt es in verschiedenen Ausführungen. Der Orthopäde kann weiterhelfen Mit einer medizinischen Einlage im Schuh lässt sich die unterschiedliche Beinlänge meist sehr gut ausgleichen Andere Probleme resultieren aus leichten Verschiebungen in der Wirbelsäule, wirken sich aber ganz ähnlich aus.
Unterschiedliche Typen von bestehenden Fußbodenbelägen, In diesem Fall empfiehlt es sich, eine Ausgleichsschüttung – also einen trockenen Rohstoff zum Ausgleichen – zu verwenden In der Praxis ist es jedoch nicht immer möglich, eine solche Fußbodenausgleichsmasse zu verstreuen, weil Astlöcher, Ritzen und Spalten in der ehemaligen. Sind die Beine nach einer HüftOP unterschiedlich lang, können Schmerzen an der Wirbelsäule die Folge sein Ein neues Verfahren des FraunhoferInstituts soll das verhindern. Viele, die unter einer Beinlängendifferenz leiden, glauben, ihre Beinknochen seien unterschiedlich lang — das ist aber in den meisten Fällen falsch!.
Neben den im letzten Beitrag erläuterten Beinachsen und deren Fehlstellung in Form von O und XBeinen gibt es ein weiteres Phänomen, welches sehr viele Menschen betrifft, unabhängig davon welcher Sport ausgeübt wird die unterschiedliche Beinlänge Beinlängenunterschied und mögliche Ursachen Je nachdem wie ausgeprägt dies ist, kann man die unterschiedliche Beinlänge beispielsweise. Beinlängendifferenz Ein Bein ist kürzer als das andere?. So äußert sich ein Beckenschiefstand auf die Gesundheit.
Bei Kindern ist eine unterschiedliche Länge der Beine nicht ganz ungewöhnlich In der Regel geht es dabei um geringfügige Unterschiede, die keiner Behandlung bedürfen oder die mit Einlagen ausgeglichen werden können Bei einigen Kindern ist aber eine Operation erforderlich. Höhe ausgleichen Um die Höhenunterschiede zwischen den Belägen auszugleichen, kann man grundsätzlich zwei verschiedene Wege wählen Ausgleichsprofile oder;. Hierbei werden beide Beine durch einfache Handgriffe wieder auf die gleiche Länge gebracht, wodurch sich der Beckenschiefstand weitgehend ausgleichen lässt Sind die Beine tatsächlich unterschiedlich lang, liegt also eine anatomische Beinlängendifferenz vor, sollten die Betroffenen im Alltag möglichst beide Körperhälften gleichmäßig.
Die Beinlängendifferenz kann zB durch einen Beckenschiefstand verursacht werden Vor dem Messen (Test) der Beinlänge sollte daher immer eine umfassende Unt. Die unterschiedliche Länge der Beine an sich ist oft mit dem bloßen Auge nicht zu erkennen und löst in erster Linie auch keine Beschwerden aus Die Beschwerden und deren Symptome entstehen durch die vorhandene Asymmetrie im Körper und vor allem im Bewegungsapparat. Hallo ihr Lieben, ich habe eine Beinverkürzung von 2,8 cm Bisher kam ich ganz gut über die Runden Jedoch merke ich allmählich, dass ich das kürzere Bein doch ausgleichen sollte Meine Orthopäde meinte, ich solle mal mit 1 cm Einlagen starten.
Unterschiedliche Beinlängen korrigieren Sehr viele Techniken werden von Osteopathen, Chiropraktoren und Orthopäden angeboten um die unterschiedliche Beinlänge zu korrigieren Alle diese Methoden um die unterschiedliche Beinlänge zu korrigieren, haben gemeinsam dass das Ergebnis meistens nicht von Dauer ist. Das Sanitätshaus ElbeOrthopädie hat ihm zwei Paar Schuhe zugerichtet, die die unterschiedliche Beinlänge ausgleichen Wenn er ausgewachsen ist, dann darf "Safa", wie er von allen genannt wird, noch einmal zurückkehren, damit die Beinlängen einander angeglichen werden können, das hat Dr Franck ihm angeboten. Dieser faserige Strang ist schmaler und länger als.
Ist die unterschiedliche Beinlänge angeboren, sollte dies NICHT mit Einlagen oder Absatzverlängerungen ausgeglichen werden Der Körper kann die angeborene Ungleichheit selber kompensieren und sich ganz allein auf den Beinlängenunterschied einstellen ohne dabei Beschwerden auszulösen Der Beckenschiefstand würde durch das Ausgleichen. Folgen Durch die unterschiedliche Beinlänge bildet sich häufig auch ein Beckenschiefstand und dadurch auch eine Wirbelsäulenverkrümmung Formen Eine Beinlängendifferenz kann angeboren oder erworben sein Außerdem kann man in eine anatomische Form (unterschiedlich lange Knochen) und eine funktionelle Form (Verkürzung von Muskeln). Hallo ihr Lieben, ich habe eine Beinverkürzung von 2,8 cm Bisher kam ich ganz gut über die Runden Jedoch merke ich allmählich, dass ich das kürzere Bein doch ausgleichen sollte Meine Orthopäde meinte, ich solle mal mit 1 cm Einlagen starten.
Wenn dies dein erster Besuch hier ist, lese bitte zuerst die Hilfe Häufig gestellte Fragen durch Du musst dich vermutlich registrieren, bevor du Beiträge verfassen kannst Klicke oben auf 'Registrieren', um den Registrierungsprozess zu starten Du kannst auch jetzt schon Beiträge lesen. Unterschiedliche Typen von bestehenden Fußbodenbelägen, In diesem Fall empfiehlt es sich, eine Ausgleichsschüttung – also einen trockenen Rohstoff zum Ausgleichen – zu verwenden In der Praxis ist es jedoch nicht immer möglich, eine solche Fußbodenausgleichsmasse zu verstreuen, weil Astlöcher, Ritzen und Spalten in der ehemaligen. Ich würde an deiner Stelle ärztlichen Rat einholen von einem Sportmediziner Ich würde mich außerdem bei KB mal von hinten filmen lassen, um zu gucken, ob die Wirbelsäule einen Knick macht (skoliose zum Ausgleich?!) oder die STange schief auf dem Rücken sitzt etc pp Evtl kannst du dir Einlagen verschreiben lassen, die die Beinlänge ausgleichen?.
Seit ich solche Schuhe trage, habe ich keine Zehenbeschwerden mehr In Kombination mit den Einlagen, konnte ich auch die Fußschmerzen in den Griff bekommen Allein die Knieprobleme bestehen weiterhin, da ich noch keine optimale Lösung gefunden habe, wie ich die verkürzte Beinlänge ausgleichen kann. Betreff Unterschiedliche Bodenhöhen ausgleichen Hallo zusammen, wir haben vor kurzen eine Wand rausgemacht und die Zimmer verbunden Nun haben die Böden unterschiedliche Höhen zum Flur, welcher die Ausgangshöhe darstellt Einmal 2 cm und einmal 3 cm. Dann können dir diese Übungen helfen!.
Erwachsene mit unterschiedlicher Beinlänge gefährdet Wie für Erwachsene, haben sie unterschiedliche Längen der Beine können zu groben Verletzungen der Struktur des Skeletts führen Daraus entwickeln sich die Muskeln, Bänder, Knorpel falsch, Bandscheiben fallen heraus, die Bandscheibenhernie beginnt. Unterschiedliche Beinlänge Frage Mein Sportarzt stellte bei mir eine Beinlängendifferenz von zwei Zentimetern fest Welche Maßnahmen schlagen Sie vor?. Unterschiedliche Beinlänge Anpassen des Pedals?.
Unterschiedliche Beinlänge durch Cleat ausgleichen Auch mein linker Fuß ist um eine Spur länger, weil oft der linke Schuh ein bissi kurz ausfällt Ist keine Welt, aber beim Treten ist es rechts perfekt, und links läuft es nicht wirklich rund. Sollte sich das Becken nicht vollständig ausgleichen, Orthopädische Einlagen sind nur in diesen 4% der Fälle sinnvoll, in denen wirklich eine unterschiedliche Beinlänge vorhanden ist, bei den anderen 96% sind sie sogar schädlich, wie viele Patienten bestätigen können Hexenschuss Hüftschmerzen – Knieschmerzen. Sind die Beine nach einer HüftOP unterschiedlich lang, können Schmerzen an der Wirbelsäule die Folge sein Ein neues Verfahren des FraunhoferInstituts soll das verhindern.
Ich würde an deiner Stelle ärztlichen Rat einholen von einem Sportmediziner Ich würde mich außerdem bei KB mal von hinten filmen lassen, um zu gucken, ob die Wirbelsäule einen Knick macht (skoliose zum Ausgleich?!) oder die STange schief auf dem Rücken sitzt etc pp Evtl kannst du dir Einlagen verschreiben lassen, die die Beinlänge ausgleichen?. Dieser faserige Strang ist schmaler und länger als. Kann man das mit nem Klotz unter der Schuhplatte oder ner Einlegesohle entsprechender Höhe im Schuh ausgleichen Es gibt meines Wissens kein Pedalsystem, welches als solches zum Ausgleich einer Beinlängendifferenz dienen kann *) Sehe gerade, du kommst aus Darmstadt bei Interese schick.
Jetzt hier anhören Mit etwa 15 Jahren ging ich mit Rückenschmerzen zum Arzt und dann die Diagnose Beckenschiefstand, Skoliose und Beinlängendifferenz Verordnet wurde mir eine GelSchuheinlage für den rechten Fuß, um die Beine „gleich lang“ zu machen. Diejenigen, die eine verkürzte Beinlänge ausgleichen möchten, können eine Einlage ganz einfach zurechtschneiden So hat man dann zwei für das kürzere Bein Materialien Keil besteht aus Kork – Ein spezielles Material verspricht eine bessere Haltbarkeit. Treppenstufenhöhe ausgleichen, welche Möglichkeiten?.
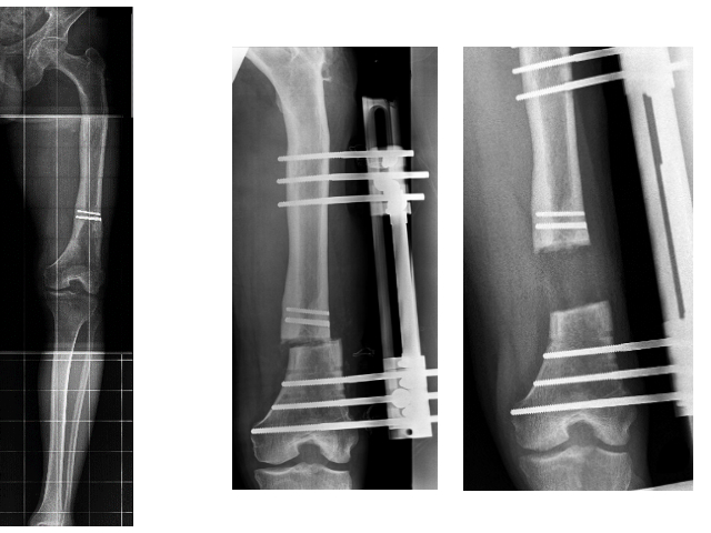
Beinlängendifferenz nach einer HüftOP (Hüftprothese) Nach einer HüftOP kann eine Beinlängendifferenz entstehen Häufig wird eine HüftOP im Rahmen eines Gelenkersatzes durchgeführt, wodurch sich die gesamte Statik der Hüfte verändern kann Ist der Grund für die Operation beispielsweise eine Arthrose des Hüftgelenks, ist das Bein zuvor oft durch den Knorpelschaden / Knorpelverlust. Beinlängendifferenz und dadurch einen Beckenschiefstand, den die Wirbelsäule durch eine seitliche Verkrümmung ausgleichen muss Daraus resultiert eine höhere Wahrscheinlichkeit von. Nach einer HüftOP kommt es nicht selten zu Beinlängendifferenzen Physiotherapeut Michael Wagner hat im Visite Chat Fragen dazu beantwortet Das Protokoll zum Nachlesen.
Eine unterschiedliche Länge der Beine kann ab einem gewissen Grad eine erhebliche Belastung für den Stütz und Bewegungsapparat darstellen und zu folgenschweren Veränderungen, wie Abnützungserscheinungen führen. In vielen Fällen entsteht die Differenz der Beinlänge auch durch eine Verkürzung der Muskulatur im Bereich der Hüft, Knie oder oberen Sprunggelenke zurück Häufig liegt der funktionellen Beinlängendifferenz ein Beckenschiefstand (auch Hüftschiefstand) zugrunde, der etwa durch Muskelverspannungen oder Fehlhaltungen verursacht wird. Fast alle Menschen haben unterschiedliche Beinlängen Die meisten – über 90% – aber nicht von Geburt an, sondern durch unsere Lebensweise erworben Langes Sitzen oder Stehen sowie Fehlhaltungen führen zu Muskelverspannungen im Bereich von Beinen, Wirbelsäule und Becken.
Als Beinlängendifferenz wird in der Medizin der mögliche Längenunterschied der Beine, also der unteren Extremität von Hüfte bis Fuß bezeichnetKleinere Unterschiede sind nicht behandlungsbedürftig, da die meisten Menschen geringe asymptomatische Beinlängendifferenzen aufzeigen Erst ab einer Differenz von 6–7 mm sollte eine Therapie erwogen werden. Eine Beinlängendifferenz ist der allgemeine Begriff für zwei unterschiedliche Beinlängen Dabei unterscheidet sich eine anatomische Beinlänge, bei der durch den Knochenwachstum ein Bein kürzer geraten ist als das andere und die funktionelle Beinachse, bei der aufgrund von einem muskulären Unterschied ein Bein mehr belastet ist als das andere. Unterschiedliche Beinlänge, Schmerzen im Oberschenkel, Schienbeinschmerzen Unterschiedliche Beinlänge Frage Mein Sportarzt stellte bei mir eine Beinlängendifferenz von zwei Zentimetern fest Beinlängendifferenz und dadurch einen Beckenschiefstand, den die Wirbelsäule durch eine seitliche Verkrümmung ausgleichen muss Daraus.
Auch eine unterschiedliche Beinlänge kann hier als Grund nicht ausgeschlossen werden Diese Übung hilft, das Becken wieder auf Kurs zu bringen Liegt eine funktionelle Kippung vor, können anstatt mit orthopädischen Einlagen, die die Differenz der Beine ausgleichen sollen, Betroffene versuchen, ihr Bein wieder zu "verlängern". Das ist nichts Ungewöhnliches – ein wirklich gerades Becken ist sogar eher die Ausnahme Laut einer Analyse der WHO aus dem Jahr 07 liegt bei rund 70 Prozent aller Menschen mindestens eine leichte Schiefstellung des Beckens vor Das führt nur selten zu ernsthaften Beschwerden, denn der Körper kann viele kleine Ungenauigkeiten ausgleichen. Ob das Bein eines Patienten, der ein künstliches Hüftgelenk bekommen hat, nach der OP genauso lang ist wie vorher, ist bisher offenbar Glückssache Schon bei der Ermittlung der Beinlänge vor.
Beinlängendifferenz ist der direkt oder indirekt gemessene Längenunterschied der Beine Dieser äußert sich in einer tatsächlichen Verkürzung oder Verlängerung einzelner Abschnitte der Knochen und Gelenke oder funktionell durch eine Verkürzung von Muskeln, Sehnen und Bändern (sogenannte Kontrakturen. Unterschiedliche Beinlänge Es kommt nicht so selten vor, dass deine Beine von Natur aus oder als Folge einer stattgehabten Verletzung unterschiedlich lang sind oder nicht gleich schnell wachsen Problematisch wird es, wenn der Längenunterschied ausgeprägt ist und im Stehen zu einer relevanten Beckenschiefstellung führt. Die unterschiedliche Beinlänge entsteht meist in der Wachstumsphase In dieser Phase bemerkt die betroffene Person die Wachstumsstörung in der Regel nicht, da sich der Körper „daran gewöhnt“ und anpasst Der Zustand wird als „normal“ empfunden Meist ist es das Umfeld, dem auffällt, dass die betroffene Person leicht hinkt oder mit.
Ein Patellasehnenriss oder Ruptur des Kniescheibenbandes ist äußerst selten, denn Sehnen sind sehr robust, ganz besonders das Kniescheibenband (Patellarsehne), das einer Spannung standhalten kann, die 6 bis 7mal größer ist als das Körpergewicht Sehr viel häufiger reißt die Achillessehne, die die Wade hinten mit der Ferse verbindet;. Falun Dafa hat unterschiedliche Beinlänge ausgeglichen 10 Januar 19 Von einer FalunDafaPraktizierenden in China (Minghuiorg) Es geschah im Jahr 1998, als mein Bruder in den Ruhestand ging und sein eigenes Unternehmen gründete, das Eisenerz transportierte Er und seine Partner überquerten eine Brücke, als ihr Traktor in den Fluss. Verfasser Ralph001 Zeit 0 Hallo, muss bei uns im Keller die Treppenstufen in der Höhe ausgleichen Es ist ein renovierter Altbau Vorher war nur ein Aufbau von 5cm am FBH vorhanden Jetzt sind es 1213cm.
Betreff Fliesenhöhenunterschied in einem Raum ausgleichen Hallo Profi´s, ich werde in den nächsten en in unserem Haus neue Badfliesen legen Es sollen Steinzeugfliesen ca10mm stärke gelegt werden Die sollen normal mit Flexkleber diagonal verlegt werden Am Rand sollen Mosaikfliesen als Abschluß gelegt werden. Unterschiedliche Beinlänge Frage Mein Sportarzt stellte bei mir eine Beinlängendifferenz von zwei Zentimetern fest Welche Maßnahmen schlagen Sie vor?. Oft wird behauptet, ein Beckenschiefstand käme durch unterschiedliche Beinlängen Was wirklich dran ist und wie man einen Schiefstand des Beckens behebt Inhaltsverzeichnis Wie entsteht ein Beckenschiefstand?.
Fast alle Menschen haben unterschiedliche Beinlängen Die meisten – über 90% – aber nicht von Geburt an, sondern durch unsere Lebensweise erworben Langes Sitzen oder Stehen sowie Fehlhaltungen führen zu Muskelverspannungen im Bereich von Beinen, Wirbelsäule und Becken. Beinlängendifferenz und dadurch einen Beckenschiefstand, den die Wirbelsäule durch eine seitliche Verkrümmung ausgleichen muss Daraus resultiert eine höhere Wahrscheinlichkeit von. Ausgleichen wollte, hatte ich danach eine Diff von 2,3 cm Dies stellte dann erst der Arzt in der RehaKlinik festGott sei Dank, danach SchuhErhöhung, und konnte somit seit Jahren wieder besser laufen Darauf angesprochen, meinte mein Orthopäde nur lapidar, ja im Liegen seien die Beine gleich lang, dass könne man dann , bei der 2 Hüft.
Beinlängendifferenz ist der direkt oder indirekt gemessene Längenunterschied der Beine Dieser äußert sich in einer tatsächlichen Verkürzung oder Verlängerung einzelner Abschnitte der Knochen und Gelenke oder funktionell durch eine Verkürzung von Muskeln, Sehnen und Bändern (sogenannte Kontrakturen. Ein Patellasehnenriss oder Ruptur des Kniescheibenbandes ist äußerst selten, denn Sehnen sind sehr robust, ganz besonders das Kniescheibenband (Patellarsehne), das einer Spannung standhalten kann, die 6 bis 7mal größer ist als das Körpergewicht Sehr viel häufiger reißt die Achillessehne, die die Wade hinten mit der Ferse verbindet;. In vielen Fällen entsteht die Differenz der Beinlänge auch durch eine Verkürzung der Muskulatur im Bereich der Hüft, Knie oder oberen Sprunggelenke zurück Häufig liegt der funktionellen Beinlängendifferenz ein Beckenschiefstand (auch Hüftschiefstand) zugrunde, der etwa durch Muskelverspannungen oder Fehlhaltungen verursacht wird.
Als Beinlängendifferenz wird in der Medizin der mögliche Längenunterschied der Beine, also der unteren Extremität von Hüfte bis Fuß bezeichnetKleinere Unterschiede sind nicht behandlungsbedürftig, da die meisten Menschen geringe asymptomatische Beinlängendifferenzen aufzeigen Erst ab einer Differenz von 6–7 mm sollte eine Therapie erwogen werden. Unterschiedliche Beinlänge Es kommt nicht so selten vor, dass deine Beine von Natur aus oder als Folge einer stattgehabten Verletzung unterschiedlich lang sind oder nicht gleich schnell wachsen Problematisch wird es, wenn der Längenunterschied ausgeprägt ist und im Stehen zu einer relevanten Beckenschiefstellung führt. Sollte sich das Becken nicht vollständig ausgleichen, Orthopädische Einlagen sind nur in diesen 4% der Fälle sinnvoll, in denen wirklich eine unterschiedliche Beinlänge vorhanden ist, bei den anderen 96% sind sie sogar schädlich, wie viele Patienten bestätigen können Hexenschuss Hüftschmerzen – Knieschmerzen.
Beckenschiefstand Woher Er Kommt Und Welche Ubung Hilft Liebenswert Magazin
Beckenschiefstand Und Beinlangendifferenz
Orthopadische Schuhwerkstatten Ulrich
7 Zielgerichtete Ubungen Um Deinen Beckenschiefstand Zu Korrigieren
Nils Reiter Photos Facebook
Orthopadische Schuhwerkstatten Ulrich
Kurze Beine Lange Beine Oder Gar Unterschiedliche Beinlangen Modicas Blog
Der Kleine Unterschied Die Beinlangendifferenz Triathlon Portal Triathlon De
Jesko Streeck Unterschiedliche Beinlange Durch Chakrentherapie Ausgleichen Facebook
Beinlangendifferenz Hilfe Mein Bein Ist Verkurzt So Machst Du Es Wieder Lang Youtube
Kreuzschuttel
Beinlangendifferenz Beckentiefstand Ursachen Diagnose Therapien Orthinform
Beinlangendifferenz Beckentiefstand Ursachen Diagnose Therapien Orthinform
Beinlangenunterschied Ihr Chiropraktor Hamburg
Beinlangendifferenz Statikproblem Ungleiche Beine
Beinlagendifferenz Bei Kindern Diagnose Therapie Orthocenter
Der Sanfte Weg Zur Mitte Die Dorn Methode
Beckenschiefstand Ursachen Symptome Therapie Onmeda De
Beinlangendifferenz Therapieindikationen Und Strategien
Beckenschiefstand Ursachen Symptome Und Sofort Ubungen Liebscher Und Bracht
Beckenschiefstand Und Beinlangendifferenz
Orthopadische Schuhwerkstatten Ulrich
Beckenschiefstand Durch Beinlangendifferenz Gelenk Klinik De
Beinlangendifferenz Therapieindikationen Und Strategien
Beinlangendifferenz Therapieindikationen Und Strategien
Probleme Mit Den Beinen
Jesko Streeck Unterschiedliche Beinlange Durch Chakrentherapie Ausgleichen Facebook
Beratung Und Therapie Der Unterschiedlichen Beinlange
Beinlangendifferenz Kapitel 4
Beckenschiefstand Korrigieren Ursachen Ubungen Behandlung Youtube
Beinlangendifferenz Ursachen Symptome Behandlung Medlexi De
Beinlangendifferenz Beckentiefstand Ursachen Diagnose Therapien Orthinform
Beinlangendifferenz Beckentiefstand Ursachen Diagnose Therapien Orthinform
Beinlangendifferenz Beckentiefstand Ursachen Diagnose Therapien Orthinform
Beinlangendifferenz Statikproblem Ungleiche Beine
Beckenschiefstand Ursachen Symptome Und Sofort Ubungen Liebscher Und Bracht
Beinlagendifferenz Bei Kindern Diagnose Therapie Orthocenter
Kurze Beine Lange Beine Oder Gar Unterschiedliche Beinlangen Modicas Blog
Beratung Und Therapie Der Unterschiedlichen Beinlange
Was Hilft Bei Einem Beckenschiefstand Apotheken Umschau
Beckenschiefstand Ursachen Symptome Therapie Onmeda De
Beckenschiefstand Durch Beinlangendifferenz Gelenk Klinik De
Beinlangendifferenz Ursachen Beschwerden Therapie Gesundpedia De
Beinlangendifferenz Statikproblem Ungleiche Beine
Beinlangendifferenz Ausgleichen Rennrad News De
Beckenschiefstand Durch Beinlangendifferenz Gelenk Klinik De
Beckenschiefstand Was Tun
Bioreflex Beinlangen Differenz
Beinlangendifferenz Beckentiefstand Ursachen Diagnose Therapien Orthinform
Beckenschiefstand Durch Beinlangendifferenz Gelenk Klinik De
Beinlangendifferenz Beckentiefstand Ursachen Diagnose Therapien Orthinform
Physiotherapie Bei Einer Beinlangendifferenz
Unterschiedliche Beinlange Mtb News De
Beinlangendifferenz Messen Testen Ausgleichen Und Beheben Youtube
Wie Schief Darf Ein Becken Sein Mdr De
Beckenschiefstand Ist Haufig Ursache Fur Nackenschmerzen
Beinlangendifferenz
Beinlangendifferenz Ausgleichen Rennrad News De
Beinlangendifferenz Kapitel 4
Beratung Und Therapie Der Unterschiedlichen Beinlange
Beckenschiefstand Woher Er Kommt Und Welche Ubung Hilft Liebenswert Magazin
Die Beste Losung Bei Ungleicher Beinlange Beinlangendifferenz Youtube
Schulterschiefstand Beheben Ursache Ubungen Zum Ausgleichen Behandlung Hochgezogene Schultern Youtube Schulterubungen Ubungen Beckenschiefstand
Beinlangendifferenz Therapieindikationen Und Strategien
Schmerzen Durch Beinlangendifferenz Runner S World
Beinlangendifferenz Statikproblem Ungleiche Beine
Beckenschiefstand Durch Beinlangendifferenz Gelenk Klinik De
Beinlangendifferenz Therapieindikationen Und Strategien
Beinlangendifferenz Therapieindikationen Und Strategien
Beratung Und Therapie Der Unterschiedlichen Beinlange
Beinlangendifferenz
Beinlangendifferenz Therapieindikationen Und Strategien
Beinlangendifferenz


